دانستنی هایی در ارتباط با آبسه دندان

به گزارش مجله سرگرمی، آبسه دندان، در داخل دندان تشکیل می گردد. این مشکل زمانی روی می دهد که عصب دندان مرده یا از بین رفته باشد. آبسه دندان در همه افرادی که برای درمان مناسب یک دندان ترک خورده یا شکسته، ریشه های در معرض آسیب یا پوسیدگی عمیق دندان خود اقدام نمی نمایند،ایجاد می گردد، آبسه دندان در بچه ها نیز می تواند بروز یابد.

دانستنی هایی در ارتباط با آبسه دندان

آبسه دندان چیست؟

آبسه دندان، عفونتی است که به دلیل پوسیدگی دندانی، بیماری پریودنتال یا یک ترک دندانی بوجود می آید. این عوارض می توانند اجازه ورود باکتری ها به داخل پالپ (بافت نرم دندان شامل اعصاب، عروق خونی و بافت همبندی) را داده و منجربه مرگ پالپ شوند.

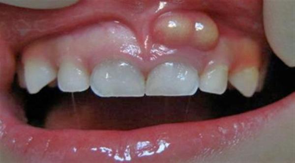
هنگامی که چرک در نوک ریشه دندان در استخوان فک تشکیل شود، یک پاکت چرکی به نام آبسه را ایجاد می نماید. در صورتی که آبسه دندان درمان نشود، می تواند منجربه یک عفونت شدید در استخوان فک، دندانها و بافت های مجاورشود.1

علائم و نشانه ها

آبسه های دندان می توانند خیلی سریع تشکیل شوند و اغلب دردناک هستند اما همواره اینطور نیست و گاهی دردی ایجاد نمی نمایند و فقط تورم و عفونت دارند.

علائم آبسه ممکن است شامل موارد زیر باشد:

درد شدید در دندان یا لثه که ممکن است ناگهان بوجود بیاید و به تدریج بدتر شود.

درد در گوش، فک، صورت و گردن در همان سمتی که ناحیه آسیب دیده وجود دارد.

درد می تواند در مواقع زیر بدتر شود:

جویدن غذا

دراز کشیدن

لمس ناحیه آسیب دیده

فشار یا گرما روی دندان

بوی بد دهان و یا طعم ناخوشایند در دهان

در برخی موارد، ممکن است باز کردن کامل دهان و بلعیدن برایتان مشکل باشد

تورم ممکن است در پایه دندان، لثه و یا گونه وجود داشته باشد.

لثه براق، قرمز و متورم

دندان آسیب دیده می تواند تغییر رنگ داشته باشد و لق شود.

اگر عفونت شیوع پیدا کند، ممکن است تب ایجاد کند.

غدد لنفاوی در گردن ممکن است در پاسخ به عفونت متورم و دردناک شود.2

مکانیسم آبسه دندان

منطقه محدودی از چرک ناشی از عفونت باکتریایی است سیستم ایمنی بدن به عفونت واکنش نشان می دهد گلبول های سفید خون را به محلول عفونت می فرستد تا به مقابله با آن بپردازد.

چرک مخلوطی از سلولهای مرده و زنده خون آنزیم ها و بقایای تخریب شده سلول ها و بافت هاست وقتی که راهی برای خروج چرک وجود داشته باشد آبسه دندان تشکیل می شود.

آبسه ها در هر جای بدن می توانند تشکیل شوند در دهان آبسه ها در بافت لثه یا در ریشه های دندان و بافت های اطراف دندان تشکیل می شود. دلیل آن می تواند تروما (غذا یا بقایای جمع شده در عمق لثه) باکتری ها (که وارد فضای پالپ شده اند) یا یک پاکت پریودنتالی عمیق باشد.

افراد با مقاومت کم بدن در معرض تشکیل بیشتر آبسه ها هستند. در ابتدا آبسه دندان ممکن است موجب سردرد شود که می تواند شدید باشد.هنگام آبسه دندان عصب دندان می تواند عفونی شود عفونت از لثه گذشته و در دهان باز شود وقتی آبسه به دهان راه باز می نماید درد کاهش می یابد اما درمان دندانپزشکی بایستی انجام شود.1

دلیل آبسه دندان

سطح خارجی دندان جنس سفتی دارد، اما مغز دندان که از مجموعه اعصاب، بافت همبند و رگ های خونی تشکیل شده است، گاهی عفونی می شود. شایع ترین علل عفونی شدن دندان عبارت اند از:

سوراخ عمیق یا پوسیدگی دندان؛

بیماری های لثه یا همان پریودِنتال؛

ترک خوردگی دندان.

عفونتی که درمان نشود، مغز دندان را از بین می برد و آبسه ایجاد می نماید. به طورکلی، انواع شایع تر آبسه عبارت اند از:

آبسه پری آپیکال که در نوک ریشه دندان ایجاد می شود؛

آبسه پریودِنتال که استخوان مجاور دندان را تحت تأثیر قرار می دهد.

ممکن است بیشتر از یک آبسه در دهان ایجاد شود یا همان یک آبسه از استخوان عبور کند و در نقاط مختلف بیرون بزند. اما هر آبسه فقط مربوط به یک دندان است.3

تشخیص آبسه دندان

درد و تورم از جمله شایع ترین علائم آبسه دندان به شمار می فرایند، اما گاهی هم هیچ علامت واضحی بروز نمی نماید و دلیلش می تواند این باشد که کیسه حاوی چرک نشت پیدا نموده است. آبسه ای که علامت خاصی نداشته باشد، از طریق عکس برداری با اشعه ایکس قابل تشخیص خواهد بود.

علاوه بر تجویز عکس رادیولوژی، پزشک معالج ممکن است چند ضربه آهسته به دندان بزند تا ببیند که چیز متفاوتی حس می کنید یا نه.

درصورتی که دندان پزشک قادر به تشخیص آبسه نباشد، بیمار را به اِندودِنتیست ارجاع خواهد داد که متخصص آبسه دندان است. اِندودِنتیست قطعا می تواند آبسه دندان را تشخیص داده و درمان کند.3

درمان آبسه دندان

هدف اصلی درمان آبسه دندان برطرف عفونت است. از این رو، اِندودِنتیست یکی از روش های زیر را پیش خواهد گرفت:
آنتی بیوتیک
اگر عفونت از محل آبسه به فک یا نقاط دیگری از بدن سرایت نموده باشد، معمولا آنتی بیوتیک تجویز می شود. آنتی بیوتیک عفونت را از بین می برد، اما درمان کامل آبسه نیست.
کشیدن دندان
اگر اِندودِنتیست نتواند هیچ راهی برای حفظ دندان پیدا کند، دندان آسیب دیده باید کشیده شود.
عصب کشی
عصب کشی از جمله مؤثرترین روش هایی است که آبسه را درمان و دندان را حفظ می نماید. طی فرایند عصب کشی، اِندودِنتیست دندان را سوراخ و مغز دندان و نیز مجاری ریشه را که از پایین به لثه راه دارند، تخلیه و سپس پر یا روکش خواهد نمود. در این صورت، دندان ترمیم شده نه تنها از لحاظ ظاهری بلکه از لحاظ کارکرد نیز مثل سایر دندان ها خواهد شد.
جراحی
تخلیه آبسه پریودِنتال ممکن است به جراحی احتیاج داشته باشد.

یادتان باشد که اگر آبسه بترکد، دردتان کم خواهد شد، اما هنوز باید جهت درمان به دندان پزشک یا اِندودِنتیست مراجعه کنید.3

معرفی چند روش درمان آبسه دندان با نشاسته

1. نشاسته و آب لیمو برای درمان آبسه دندان
دو قاشق چای خوری نشاسته را با یک قاشق چای خوری آب لیمو مخلوط و به صورت خمیر درآورید. سپس آن را بر روی دندان عفونی قرار داده و به مدت 10 تا 15 دقیقه منتظر بمانید تا چرک موجود در دندان از طریق این خمیر تخلیه شود. وجود آب لیمو به همراه نشاسته علاوه بر تخلیه چرک دندان، باعث ضدعفونی شدن محل آبسه نیز خواهد شد.
2. ترکیب نشاسته و سرکه سیب برای آبسه دندان
استفاده از ترکیب نشاسته با سرکه سیب نیز منجر به درمان آبسه دندان خواهد شد. برای این کار کافیست میزان کمی نشاسته را با سرکه سیب به صورت خمیر در آورده و بر روی دندان مبتلا به آبسه قرار دهید، سپس چند دقیقه منتظر بمانید تا چرک به خوبی تخلیه شود. این کار را 2 یا 3 بار در روز انجام دهید.
3. ترکیب نشاسته و عسل برای درمان عفونت دندان
یکی از روش های درمان آبسه دندان با نشاسته، مخلوط کردن میزانی پودر نشاسته به همراه آب و عسل است. این ترکیب را دو الی سه بار در روز بر روی محل دندان مورد نظر قرار داده و چند دقیقه منتظر بمانید. عسل ماده ای مفید برای درمان عفونت است که ترکیب آن با نشاسته تاثیری دو چندان برای درمان این عارضه دارد.
4. درمان آبسه دندان با نشاسته و آب سیر
از آنجایی که یکی از خواص سیر خاصیت آنتی بیوتیکی و ضد التهابی فوق العاده آن است، ترکیب سیر با نشاسته ماده ای طبیعی و مفید برای درمان آبسه دهان و دندان به وجود می آورد.

برای این منظور چند حبه سیر را رنده نموده و آب آن را خارج نمایید سپس آن را با میزانی نشاسته مخلوط نموده و بر روی آبسه دندان قرار دهید. این مخلوط علاوه بر جلوگیری از توسعه عفونت به تسکین درد نیز یاری می نماید.4

عوارض آبسه دندان

آبسه دندان بدون درمان دندانپزشکی، بهبود نمی یابد.

اگر آبسه دندان پاره شود، درد دندان خیلی کم می شود، ولی همچنان احتیاج به درمان دندانپزشکی دارد.

اگر چرک آبسه دندان خالی نشود، عفونت به سمت فک و سایر قسمت های سر و گردن میرود. حتی ممکن است فرد دچار عفونت خون (سپسیس) شود که عفونتی کشنده است و در تمام بدن پخش می شود.

اگر سیستم ایمنی بدن شما ضعیف باشد و آبسه دندان خود را با مراجعه به دندانپزشک درمان نکنید، خطر ابتلای شما به عفونت گسترده بدن بیشتر از بقیه است.1

پینوشتها

1.www.beytoote.com

2.www.azadmed.com

3.www.chetor.com

4.www.setare.com

آژانس دور زمین: دور زمین | سفر به دور زمین هیچوقت اینقدر آسون نبوده! تور ارزان، تور لحظه آخری، اروپا، تور تایلند، تور مالزی، تور دبی، تور ترکیه

banima.ir: قدرت گرفته از سیستم مدیریت محتوای بانیما

منبع: راسخون
انتشار: 24 آبان 1400 بروزرسانی: 24 آبان 1400 گردآورنده: kurdeblog.ir شناسه مطلب: 162807

به "دانستنی هایی در ارتباط با آبسه دندان" امتیاز دهید

امتیاز دهید:

دیدگاه های مرتبط با "دانستنی هایی در ارتباط با آبسه دندان"

* نظرتان را در مورد این مقاله با ما درمیان بگذارید