افراد استرسی و هیجانی بیشتر در معرض پسوریازیس هستند

به گزارش مجله سرگرمی، برای بسیاری از افراد، پسوریازیس هنوز یک بیماری نسبتاً ناشناخته است. امروز روز جهانی این بیماری است، روزی برای افزایش آگاهی و بهبود دسترسی بیماران به روش های درمان جدید.

افراد استرسی و هیجانی بیشتر در معرض پسوریازیس هستند

به گزارش، پسوریازیس بیش از 125 میلیون نفر در سراسر جهان را تحت تأثیر قرار می دهد و به تعبیری دیگر، 2 تا 3 درصد از کل جمعیت جهان مبتلا به پسوریازیس هستند.

برای بسیاری از افراد، پسوریازیس هنوز یک بیماری نسبتاً ناشناخته است. امروز روز جهانی این بیماری است، روزی برای افزایش آگاهی و بهبود دسترسی بیماران به روش های درمان جدید.

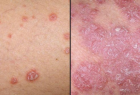
پسوریازیس بیماری پوستی مزمن خودایمنی است. این بیماری هنگامی رخ می دهد که دستگاه ایمنی بدن سیگنال هایی اشتباه می فرستد. این سیگنال ها باعث افزایش سرعت چرخهٔ رشد سلول های پوست می شود؛ یعنی افزایش بیش از حد سلول های پوستی از میزان ریختن آن ها.

پسوریازیس بار اقتصادی، اجتماعی و عاطفی بزرگی بر دوش بیماران و خانواده های آن ها تحمیل می کند و بر کیفیت زندگی مبتلایان تاثیری به شدت منفی دارد. حدود 60 درصد از مبتلایان به پسوریازیس بیماری خود را یک مشکل بزرگ در زندگی روزمره می دانند. تأثیر این بیماری بر کیفیت زندگی زنان و بیماران جوان تر به مراتب بیشتر است.

بیماری اغلب در سنین 15 تا 25 سالگی ظاهر می شود، اما می تواند در هر سنی بروز کند. پسوریازیس خفیف کمتر از 3 درصد بدن را تحت تأثیر قرار می دهد. اگر 3 تا 10 درصد بدن درگیر این بیماری شود، نوع متوسط در نظر گرفته می شود و ابتلای بیش از 10 درصد بدن، از نوع شدید است.

یک متخصص پوست ومو در گفتگو با ایسنا در خصوص بیماری پسوریازیس، اظهار کرد: پسوریازیس یک بیماری پوستی است که در آن پوسته ریزی اتفاق می افتد و حدود یک درصد افراد جامعه به این بیماری مبتلا هستند. این بیماری با وجود اینکه ظاهر زشتی دارد، عمر بیمار را کم نمی کند.

عبدالرضا عرفانی با بیان اینکه در حال حاضر این بیماری در جامعه تحمل پذیرتر شده است، شرح داد:مبتلایان نباید دچار افسردگی یا گوشه نشینی شوند، زیرا بیماری مسری خطرناکی نیست.

وی افزود: پسوریازیس در نواحی از پوست (مانند آرنجها، زانو ها و پوست سر) که در معرض آسیب های فیزیکی قرار می گیرند، بیشتر رخ می دهد. البته ممکن است کل پوست بدن هم به پسوریازیس مبتلا شود.

این متخصص پوست و مو با اشاره به اینکه این بیماری همراه با تکثیر غیر طبیعی سلول های پوست رخ می دهد، شرح داد: لایه شاخی پوست در حالت عادی هر 28 روز یک بار نو می شود، اما در افراد مبتلا به پسوریازیس هر پنج روز یک بار این اتفاق می افتد و به همین علت پوست روی پوست جمع می شود و مانند آرد می ریزد.

عرفانی ادامه داد: یک چهارم افرادی که به این بیماری مبتلا هستند، سابقه فامیلی مثبت دارند. عوامل عصبی و روحی، تنشی و هیجانی، نگرانی ها و فشار های عصبی باعث می شود، این بیماری تشدید شود و این استرس ها می تواند علتی برای شروع بیماری باشد. همچنین افرادی که زبان های ترک دار و چاک دار دارند، بیشتر در معرض این بیماری هستند، توصیه می کنیم این افراد در زمان مسواک کردن زبانشان را نیز مسواک کنند.

وی خاطر نشان کرد: هر جایی از پوست اگر آسیب فیزیکی ببیند، این بیماری می تواند فعال شود که به آن کوبنر مثبت می گویند. این بیماری در محل هایی که آسیب فیزیکی به پوست وارد شده است، بیشتر ظاهر می شود. در بررسی های پاتولوژی این بیماری پوست هم ضخیم و هم نازک می شود. به قدری نازک می شود که عروق خونی در سطح پوست نمایان شده و حتی ممکن است خون ریزی اتفاق افتد.

این متخصص پوست و مو با بیان اینکه برای کنترل این بیماری باید سعی کنیم تکثیر سلولی را کم کنیم، گفت: در این بیماری با تکثیر سلولی غیرطبیعی بدخیم روبرو هستیم.

عرفانی با اشاره به روش های درمانی این بیماری گفت: استفاده از دارو های ضد التهاب مانند کورتون های موضعی ترکیبات حاوی تار، قیر و... و؛ که می توانند تکثیر سلولی را کم کنند، بسیار مفید است. همچنین از روش های دیگر لیزر های اگزایمراست، اما در صورتی که بیماری با درمان های موضعی کنترل نشود و بیماری وسیع باشد، از درمان های سیستمیک تکثیر سلولی استفاده می شود.

عرفانی گفت: اخیرا داروی جدیدی به نام سینورا برای درمان پسوریازیس به کار می رود که داروی گران قیمتی است، اما تحت پوشش بیمه است.

منبع : ایسنا

pariha.com: پریها مجله گردشگری، خبری، موفقیت، آشپزی و سرگرمی میباشد.

dorezamin.com: دور زمین: آشنایی با زیبایی های دنیا در مجله سرگرمی و گردشگری

منبع: باشگاه خبرنگاران جوان
انتشار: 26 آبان 1400 بروزرسانی: 26 آبان 1400 گردآورنده: kurdeblog.ir شناسه مطلب: 56303

به "افراد استرسی و هیجانی بیشتر در معرض پسوریازیس هستند" امتیاز دهید

امتیاز دهید:

دیدگاه های مرتبط با "افراد استرسی و هیجانی بیشتر در معرض پسوریازیس هستند"

* نظرتان را در مورد این مقاله با ما درمیان بگذارید