راشیتیسم یا نرمی استخوان Rickets چیست
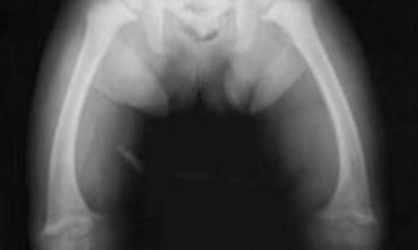
به گزارش مجله سرگرمی، مهمترین آنها عبارتند از خواب آلودگی، شلی و ضعف عضلانی، تاخیر در رشد، پای پرانتزی و مچ دست کلفت است. در موارد شدید ممکن است شکل قفسه سینه بچه تغییر کند. تشنج هم از دیگر علائم حالات شدید بیماری است. پزشک معالج بعد از معاینه بیمار، از رادیوگرافی استخوان ها و آزمایشات خون برای یاری به تشخیص استفاده میکند.

راشیتیسم یا نرمی استخوان Rickets چیست
نویسنده:دکتر مهرداد منصوری
چه کسانی بیشتر در معرض ابتلاء به راشیتیسم یا نرمی استخوان هستند
علائم راشیتیسم یا نرمی استخوان
درمان نرمی استخوان
پیشگیری از بروز راشیتیسم
راشیتیسم یا نرمی استخوان یک بیماری استخوانی در بچه ها است که موجب ضعیف شدن استخوان، پاهای پرانتزی، و تغییر شکل در اندام ها میشود. در این بیماران به دلایلی کلسیم، فسفر یا ویتامین دی به اندازه کافی در اختیار فراوری استخوان قرار نمیگیرد.
چه کسانی بیشتر در معرض ابتلاء به راشیتیسم یا نرمی استخوان هستند
افراد زیر بیشتر از دیگران در معرض ابتلا به نرمی استخوان هستند
شیر مادر ویتامین دی زیادی ندارد پس اگر بچه ای به مدت طولانی فقط از شیر مادر تغذیه کند ممکن است در خطر ابتلاء به راشیتیسم باشد.
مصرف کم کلسیم
قرار نگرفتن در معرض تابش آفتاب : ویتامین دی در پوست بدن انسان و با تابش نور آفتاب ساخته میشود پس تابش ناکافی نور خورشید میتواند زمینه ساز راشیتیسم باشد
کسانی که پوست تیره دارند احتیاج به نور بیشتری برای ساخت ویتامین دی دارند و بیشتر در نور کم بیشتر در معرض کمبود ویتامین دی قرار میگیرند
کسانی که به لاکتوز حساسیت درند به دلیل مصرف ناکافی لبنیات میتوانند در معرض خطر این بیماری قرار بگیرند
علائم راشیتیسم یا نرمی استخوان
مهمترین آنها عبارتند از خواب آلودگی، شلی و ضعف عضلانی، تاخیر در رشد، پای پرانتزی و مچ دست کلفت است. در موارد شدید ممکن است شکل قفسه سینه بچه تغییر کند. تشنج هم از دیگر علائم حالات شدید بیماری است. پزشک معالج بعد از معاینه بیمار، از رادیوگرافی استخوان ها و آزمایشات خون برای یاری به تشخیص استفاده میکند.درمان نرمی استخوان
درمان این بیماری با تجویز کلسیم و ویتامین دی است. معمولاٌ چند ماه طول میکشد تا شرایط بیمار به حد طبیعی برسد. بسیاری تغییر شکل های اندام مانند پای پرانتزی با درمان دارویی خود بخود خوب میشوند. در حالات شدید تغییر شکل استخوان ها ممکن است احتیاج به درمان جراحی داشته باشد. با این حال برخی تغییر شکل های استخوانی که در لگن یا قفسه سینه بوجود میاید و یا مسائل قدی که برای بیمار بوجود آمده ممکن است برای همواره برای وی باقی بمانند.پیشگیری از بروز راشیتیسم
با انجام اقدامات زیر میتوان مانع از بروز بسیاری از موارد بیماری شددر بچه هایی که فقط شیر مادر مصرف مینمایند باید روزانه ویتامین دی بصورت قطره مکمل استفاده نمایند. اگر مادر شیرده هم ویتامین دی بیشتری مصرف کند اندازه آن در شیر وی بیشتر میشود.
بچه ها احتیاج دارند تا روزی دو لیوان شیر مصرف نمایند. این میزان در نوجوانان باید به روزی 5-3 لیوان افزایش پیدا کند.
در بچه هایی که به شیر حساسیت دارند باید کلسیم را بصورت مکمل های غذایی به بچه داد.
ارتوپدی به اسم شاخه ای از علم پزشکی که عهده دار تشخیص و درمان بیماری های استخوان و مفاصل و دیگر بافت های اندام ها است دائما در حال تغییر و پیشرفت است. سایت ایران ارتوپد حداکثر سعی خود را در به روز کردن اطلاعات ذکر شده به عمل میاورد.
منبع:www.iranorthoped.ir
ارسال به وسیله کاربر محترم سایت : mehdigerdali
/ج
منبع: راسخونbestarticles.ir: بهترین مقاله، گلچینی از بهترین های دنیای فناوری و گردشگری
boostanchat.ir: بوستان گفتگو | انجمن بحث و بررسی فناوری های روز دنیا